Brokos Clinic

Greece - Rhodes
5.0 14 reviews

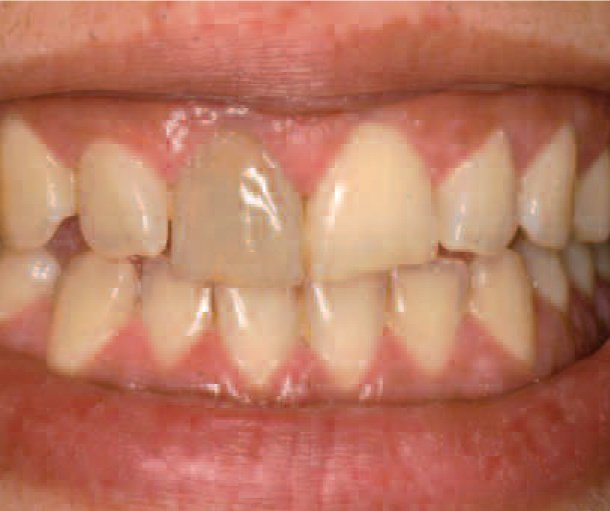
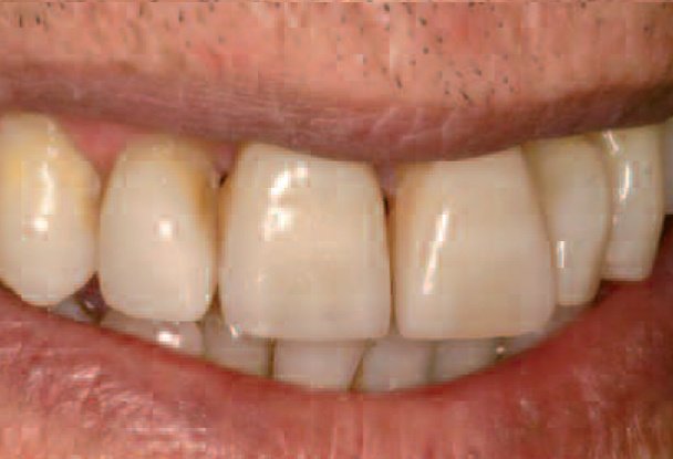
About Brokos Clinic Our philosophy Welcome to the clinic of Αesthetic Reconstructive Dentistry and Implantology, in Rhodes. Offering quality dental treatment protocols today, is a matter of combination between excellent clinical skills and abilities, deep knowledge of the so called ''scientific evidence based dentistry'' and finally proper selection and use of equipment and materials. Your personal treatment plan will be performed ... (Show more)

  • Reviews
  • Services
  • Contact
  • Q&A
  • Staff
5.0 (14 reviews)
5.0 
Staff
5.0 
Punctuality
5.0 
Competence

Brokos Clinic Reviews

Write a Review
See more...
Ask Now

Ask a Question

Question and Answer

See more...
Address: Ioanni Kazouli 1, Rhodes, Dodekanisa, 85100Greece