Dentistry

Gum Surgery

-Treatment-

Gum surgery, also known as periodontal surgery, is a dental procedure that aims to treat gum diseases. It involves removing and reattaching the gums to the teeth or bone, reducing pockets where bacteria thrive, and promoting healthy tissue growth. The procedure can be performed through flap surgery, pocket reduction surgery, or crown lengthening.

Dentistry in Greece

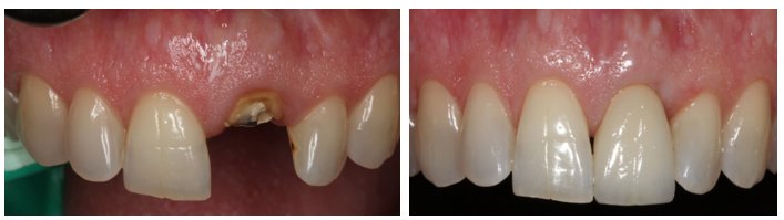
Gum Surgery

-Treatment-

Gum surgery, also known as periodontal surgery, is a dental procedure that aims to treat gum diseases. It involves removing and reattaching the gums to the teeth or bone, reducing pockets where bacteria thrive, and promoting healthy tissue growth. The procedure can be performed through flap surgery, pocket reduction surgery, or crown lengthening.

In Greece:

Gum surgery in Greece improves gum health by treating periodontal diseases and receding gums. It involves deep cleaning and tissue regeneration. The cost is affordable, around €500-€1500.

Average Waiting Time: 1-2 weeks
Cost Range: €500 - €1500
Additional:

Highly skilled dentists use modern techniques for quick recovery.

Packages for Gum Surgery in 18 Hospitals in Greece
Filters
Tags
Tags
See Hospitals
Clear Tags
Filters
(clear filters)

Country

City

Price Range
$
$

highest tech
best facilities
best communication
nicest staff
most competent
most punctual