Newcastle Under Lyme Dental Practice

United Kingdom - Newcastle
4.9 73 reviews

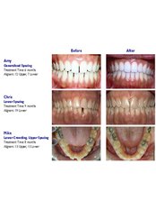
About Newcastle Under Lyme Dental Practice This is Newcastle Under Lyme Dental Practice, located within 0.7 km of Newcastle. We offer Free consultations for Dental Implants, Orthodontic treatment and facial aesthetics. Same day emergency appointments. All patients are welcome to the practice, for your initial appointment you will be welcomed by Dr Alka who will talk to about what you would like to change or improve about your smile.

  • Reviews
  • Services
  • Contact
  • Q&A
  • Staff
Service - Visit Price
Dentist Consultation $24
4.9 (73 reviews)
4.8 
Staff
5.0 
Punctuality
4.5 
Communication
5.0 
Competence

Newcastle Under Lyme Dental Practice Reviews

Write a Review
See more...
Ask Now

Ask a Question

Question and Answer

See more...
Address: 1 Mount Pleasant, Newcastle, Staffordshire, ST5 1DAUK