Monarch Dentistry

United States - Virginia
4.8 204 reviews

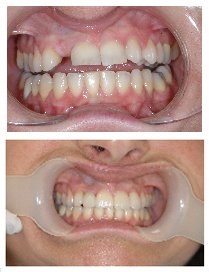
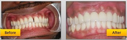
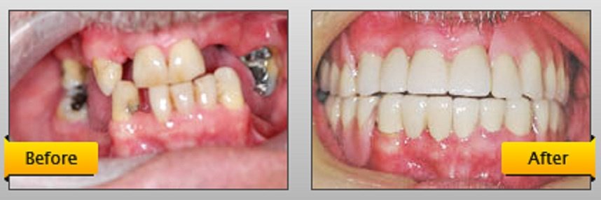
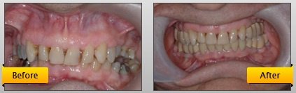
About Monarch Dentistry Monarch Smiles Dentistry provides personalized dentalcare in Virginia & Pennsylvania. We have experienced dentists with skillsin bonding, implant, root canal etc. Contact our dental clinic in Virginia& Pennsylvania & for best dental service.

  • Reviews
  • Services
  • Contact
  • Q&A
  • Staff
Service - Visit Price
Dentist Consultation $Free

Monarch Dentistry Reviews

Write a Review
See more...
Ask Now

Ask a Question

Question and Answer

See more...
Address: 8300 Boone Blvd, Ste. 140,, Virginia, VA, 22182US