Michael Wasemiller, DDS

United States - California
5.0 5 reviews

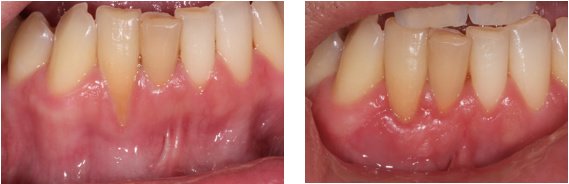
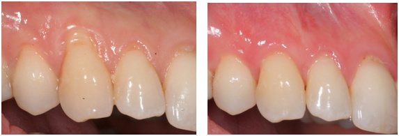
About Michael Wasemiller, DDS Creating Healthy Smiles One Patient at a Time. Dr. Wasemiller specializes in dental implants and periodontal procedures along with advanced minimally invasive sinus lift techniques. Periodontics is the field of dentistry that focuses on the area surrounding the teeth: the bone and gums. Your referring dentist focuses on the restoration of your teeth. Dr. Wasemiller works closely with your referring dentist... (Show more)

  • Reviews
  • Services
  • Contact
  • Q&A
  • Staff
5.0 (5 reviews)
5.0 
Staff

Michael Wasemiller, DDS Reviews

Write a Review
See more...
Ask Now

Ask a Question

Question and Answer

See more...
Address: 2080 Century Park East Suite 1103, Los Angeles, CA, CA, 90067US