Medstom Dental Clinic Stambolov
4.0
149 reviews
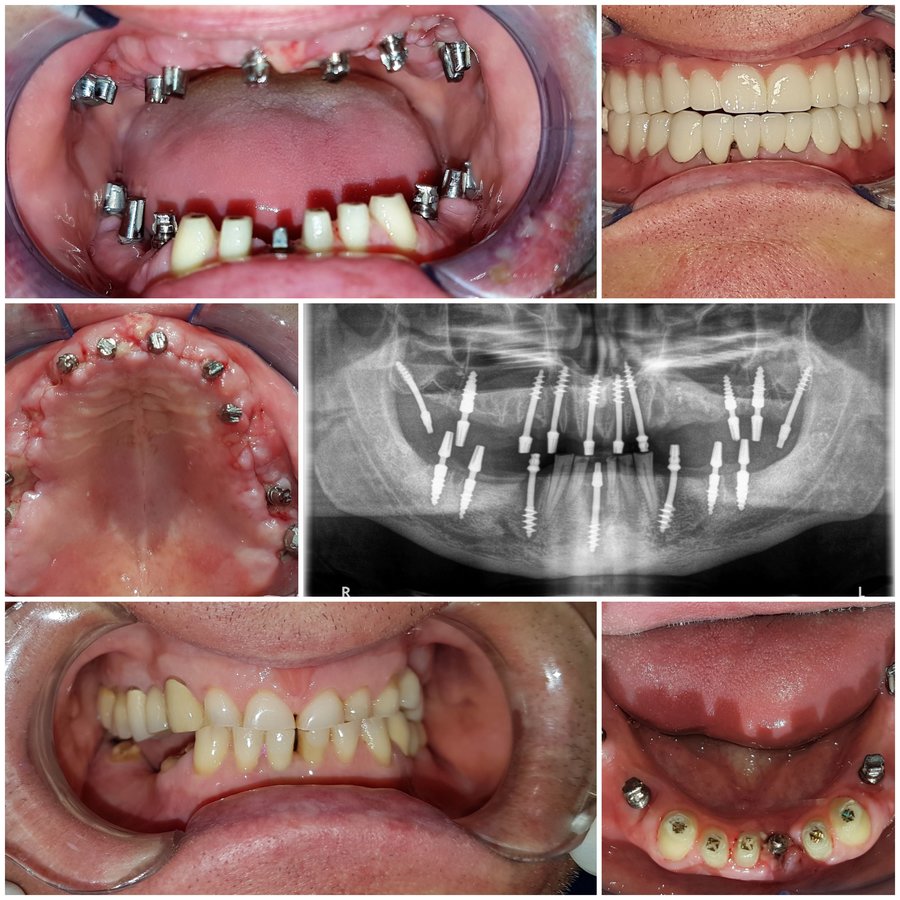
About Medstom Dental Clinic Stambolov Dental Clinic "MEDSTOM" is a Bulgarian company build by Dr. G.Mohammed in year 2001 under the motto "Care and responsibility for your health - good service in a comfortable environment". The clinic has modern dental equipment, uses tools meeting the highest quality standards, high quality materials from leading world manufacturers, strictly observing the principles of sterilization specification th... (Show more)
- Reviews
- Services
- Contact
- Q&A
- Staff
| Service - Visit | Price |
|---|---|
| Dental Implants | $1541 |
| Dental Crowns | $209 |
| Extractions | $50 |
| Dentures | |
| Root Canals | $88 |
4.0
(149 reviews)
4.7
Staff
3.7
Punctuality
4.1
Communication
4.7
Competence
Medstom Dental Clinic Stambolov Reviews
Write a Review
See more...
Ask Now
Ask a Question
Question and Answer
See more...
Address:
6, "Stefan Stambolov" Blvd, fl. 1, Sofia, Sofia, 1000Bulgaria