Live Implants Nicaragua
4.5
1 reviews
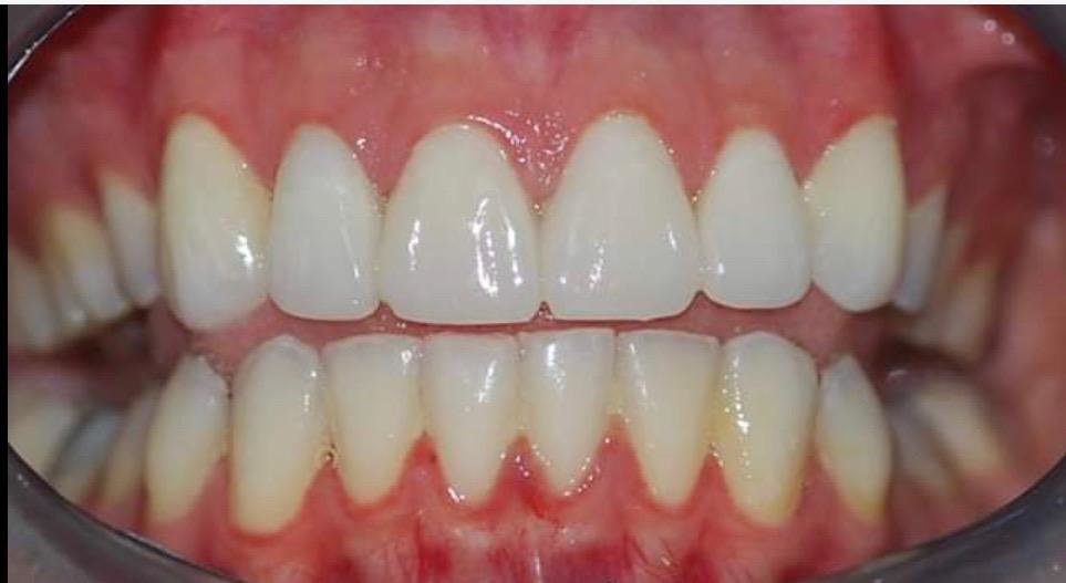
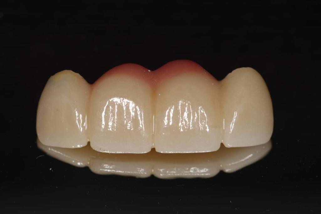
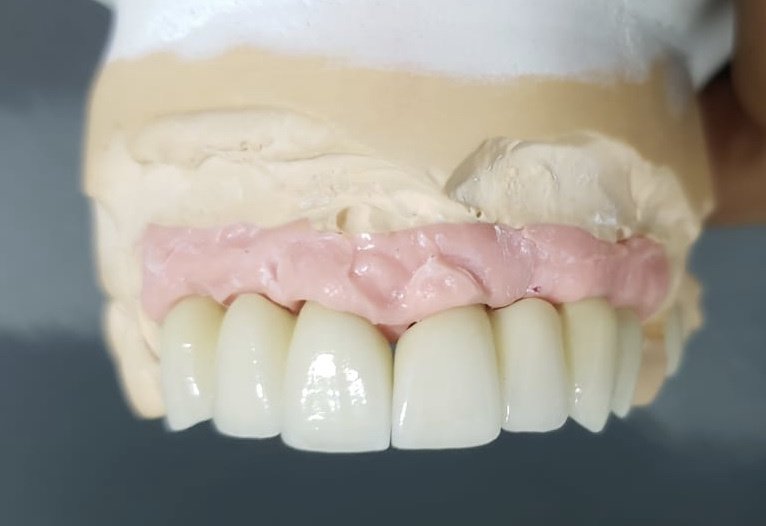
About Live Implants Nicaragua Virgil Mongalo DMD is a dental implant surgeon, past professor of implant surgeries at the University of Miami and the University of Florida has opened a surgical implant center in Managua. This is a state of the art facility consisting of equipped with Ct-scan, 3D Printer, zirconia milling machine, 8 surgical rooms, and USA sterilization controls. His team consists of implant surgeries professor accredited... (Show more)
- Reviews
- Services
- Contact
- Q&A
- Staff
| Service - Visit | Price |
|---|---|
| Dentist Consultation | |
| Dental Crowns | $25 |
| Dental Bridges | $50 |
| Dental Implants | $550 |
| Bone Graft | $300 |
| Extractions | $50 |
4.5
5.0
Staff
Live Implants Nicaragua Reviews
Write a Review
See more...
Ask Now
Ask a Question
Question and Answer
See more...
Address:
Las Colinas, 200 Meters East of Km 8.1 Carretera a Masaya. Managua, Nicaragua, Managua, ManaguaNicaragua