Les Latner DDS

United States - California
4.7 68 reviews

About Les Latner DDS Perfecting Smiles since 1984. Dr. Les Latner has been delivering excellent results for his cosmetic and general dentistry patients in Los Angeles since 1984. Meeting his patients demands in the fast pace of LA life is a tall order, but Dr. Latner has proven himself more than worthy of that challenge. Our Los Angeles cosmetic dentistry practice has flexible hours, a complete range of dental services in one locatio... (Show more)

  • Reviews
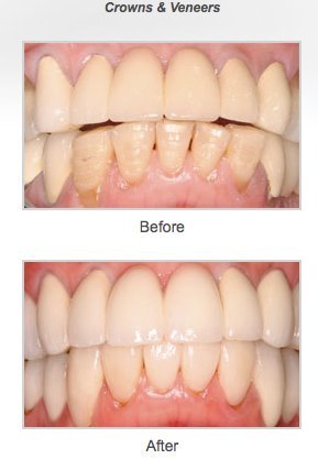
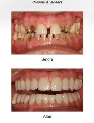
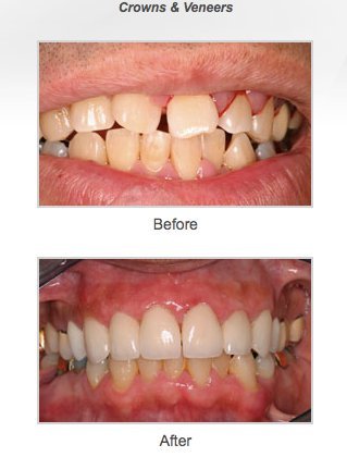
  • Services
  • Contact
  • Q&A
  • Staff
Service - Visit Price
Dentist Consultation $Free
4.7 (68 reviews)
5.0 
Staff
5.0 
Punctuality
4.1 
Communication
5.0 
Competence

Les Latner DDS Reviews

Write a Review
See more...
Ask Now

Ask a Question

Question and Answer

See more...
Address: 2990 S. Sepulveda Blvd., #204, Los Angeles, CA, 90064US