Ideal Dental Center - Merida

Mexico - Merida
5.0 26 reviews

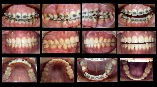
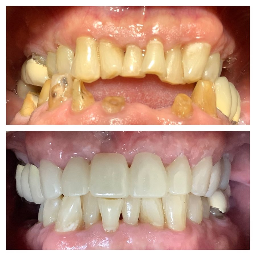
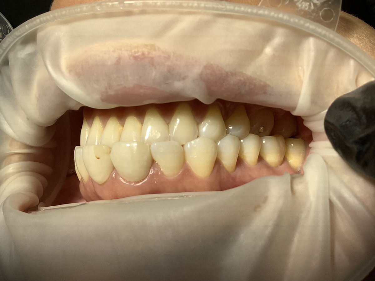
About Ideal Dental Center - Merida Ideal Dental Center is located in Merida, Mexico. Founded 40 years ago, it provides the highest quality, fully guaranteed dental work at the best prices. The clinic operates at 2 branches – Mexico City & Merida With state-of-the-art facilities, both clinics offer a full range of general and specialist dental care. Furthermore, the dentists at Ideal Dental are highly trained. They have affiliations wit... (Show more)

  • Reviews
  • Services
  • Contact
  • Q&A
  • Staff
5.0 (26 reviews)
5.0 
Staff
5.0 
Communication
5.0 
Competence

Ideal Dental Center - Merida Reviews

Write a Review
See more...
Ask Now

Ask a Question

Question and Answer

See more...
Address: Calle 23, No 249 x 28 y 30, Col. La Florida, Mérida, Yucatán, 97138Mexico