HALDENT

Poland - Krakow
4.2 78 reviews

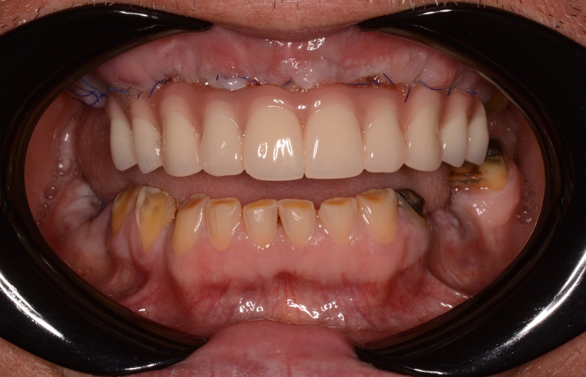
About HALDENT We specialize in providing immediate prosthetic restorations on implants using the highly effective All-on-4 method. Our team has successfully restored the smiles of over 700 individuals from various parts of the world, often achieving remarkable results within a single day. Notably, Dr. Hubert Trzepatowski holds the esteemed title of a Nobel Biocare All-on-4 Key Expert and is the sole certified trainer of this method fro... (Show more)

  • Reviews
  • Services
  • Contact
  • Q&A
  • Staff
Service - Visit Price
Dentist Consultation
4.2 (78 reviews)
4.0 
Staff
2.0 
Punctuality
5.0 
Communication

HALDENT Reviews

Write a Review
See more...
Ask Now

Ask a Question

Question and Answer

See more...
Address: Sportowa 3a, 32-080 Zabierzów, Krakow- Poland, Krakow, 32080Poland