Eliza Yu Family Dentistry

Philippines - Davao City
0.0

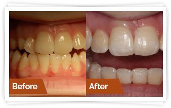
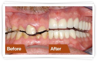
About Eliza Yu Family Dentistry Do you want exceptional clinical dentistry, an pleasing and comfortable atmosphere, the latest technology, and personal management that makes you feel valued and appreciated? Welcome to Eliza Yu Family and Cosmetic Dental Center, where you’ll find all this and more. Dr. Yu and our team will treat you with the same sympathetic care that we would extend to our most beloved family members. Why? Because you ... (Show more)

  • Reviews
  • Services
  • Contact
  • Q&A
  • Staff
Service - Visit Price
Dentist Consultation $Free

Eliza Yu Family Dentistry Reviews

Write a Review
See more...
Ask Now

Ask a Question

Question and Answer

See more...
Address: D1 Doña Segunda Complex Ponciano Street, Davao, Davao Del Sur, 8000Philippines