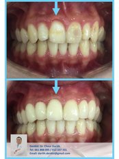
Dr. Chour Darith

Cambodia - Siem Reap
5.0 12 reviews

About Dr. Chour Darith If you have urgent questions, please contact me by: * Email:

  • Reviews
  • Services
  • Contact
  • Q&A
  • Staff
5.0 (12 reviews)
5.0 
Staff
5.0 
Communication
5.0 
Competence

Dr. Chour Darith Reviews

Write a Review
See more...
Ask Now

Ask a Question

Question and Answer

See more...
Address: #599, WatBo Road, Sangkat Sala Kamreuk, Siem Reap Provience, 171204Cambodia