Dr. Ari Greenspan Jerusalem

Israel - Jerusalem
4.9 189 reviews

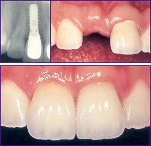
About Dr. Ari Greenspan Jerusalem My name is Dr. Ari Greenspan and I am an Israel Dentist. I have been practicing dentistry in Jerusalem from 1988. I am a graduate of University of Medicine and Dentistry of New Jersey. Since graduating, I have been a dentist in Jerusalem Israel. Dr. Ari Greenspan Our office offers a unique blend of old Jerusalem charm and warmth. We also are a cutting edge hi-tech dental clinic. We provide an unusual... (Show more)

  • Reviews
  • Services
  • Contact
  • Q&A
  • Staff
4.9 (189 reviews)
4.9 
Staff
4.7 
Punctuality
4.9 
Communication
4.9 
Competence

Dr. Ari Greenspan Jerusalem Reviews

Write a Review
See more...
Ask Now

Ask a Question

Question and Answer

See more...
Address: Mobile Health International, 101a Derech Chevron Talpiot, JerusalemIsrael