diMID Dental Implant Merida
5.0
1 reviews
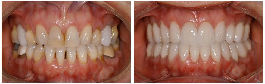
About diMID Dental Implant Merida diMID/Dental Implant Merida at Merida, Yucatán, Mexico, provides comprehensive general and specialized care delivered by a highly qualified trained team of dentists. Visitors to the diMID are always treated by dentist-never oral hygienists.
- Reviews
- Services
- Contact
- Q&A
- Staff
| Service - Visit | Price |
|---|---|
| Fillings | $550 |
| Extractions | $99 |
| Dentures | $480 |
| Dentist Consultation | $Free |
| Dental Crowns | $430 |
| Dental Implants | $950 |
| Root Canals | $250 |
| Veneers | $430 |
| Teeth Cleaning | $70 |
5.0
5.0
Competence
diMID Dental Implant Merida Reviews
Write a Review
See more...
Ask Now
Ask a Question
Question and Answer
See more...
Address:
Calle 49 No.308 x 42 y 38 Plaza Real, Local 10 Villas La Hacienda, Mérida, Yucatán, 97119Mexico