Dental Venue Multispeciality Hospital
4.8
2 reviews
About Dental Venue Multispeciality Hospital Veun’s Speciality Dental Hospital, established in the year 2006 is a multispeciality dental clinic run by a speciality doctor/ prosthodontist.We work to treat every dental problem with the highest quality. Equipped with the state of art equipment and infrastructure, coupled with affordable treatment set in a comfortable environment, we ensure that we give you the best treatment by the best do... (Show more)
- Reviews
- Services
- Contact
- Q&A
- Staff
| Service - Visit | Price |
|---|---|
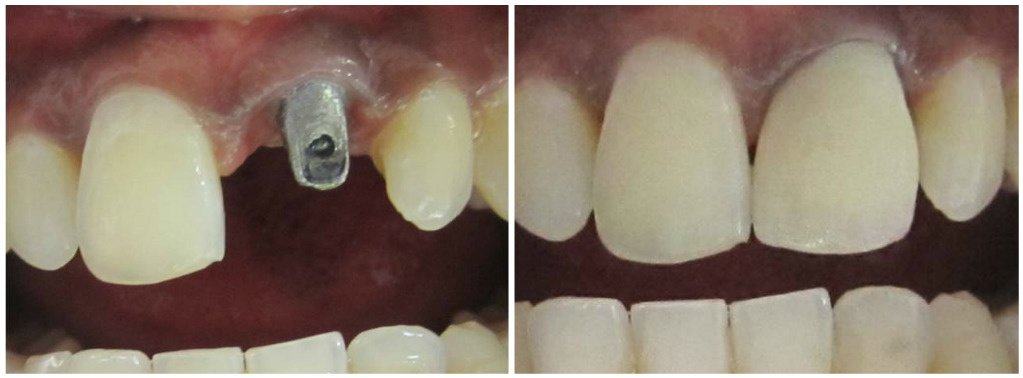
| Dental Crowns | $301 |
| Implant Dentist Consultation | $6 |
| Sinus Surgery | $301 |
| Dental Implants | $181 |
Dental Venue Multispeciality Hospital Reviews
Write a Review
See more...
Ask Now
Ask a Question
Question and Answer
See more...
Address:
F-14 DEEPTHI APARTMENTS, BESIDE ST.ANNS HIGH SCHOOL, S.P ROAD, SECUNDERABAD, 500003, 19, DURGA ENCLAVE, ROAD NO;12BANJARA HILLS, HYDERABAD 500034, SECUNDERABAD, TELANGANAIndia