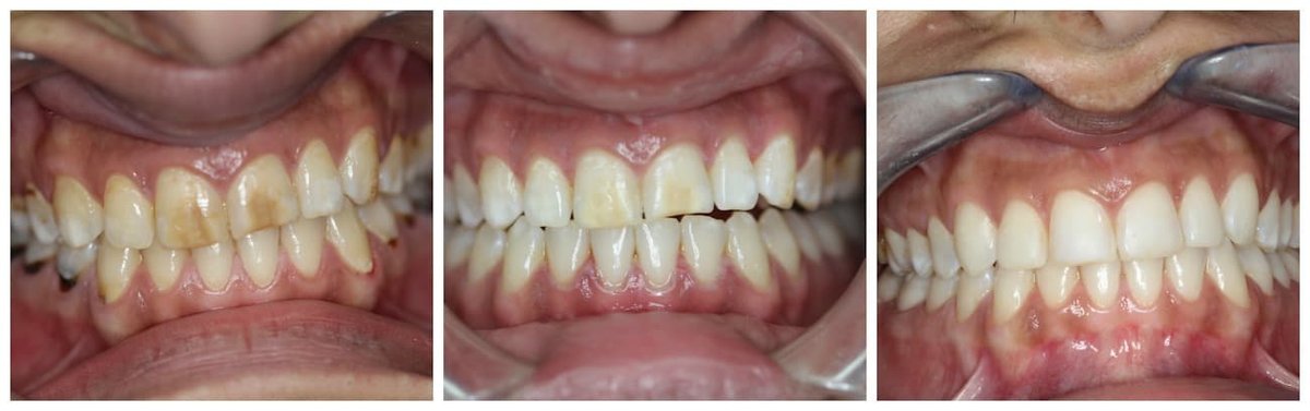
Cyprus Happy Smile

Cyprus - Nicosia
5.0 4 reviews

About Cyprus Happy Smile For more information about Cyprus Happy Smile in Nicosia please contact the clinic.

  • Reviews
  • Services
  • Contact
  • Q&A
  • Staff
5.0 (4 reviews)
5.0 
Competence

Cyprus Happy Smile Reviews

Write a Review
See more...
Ask Now

Ask a Question

Question and Answer

See more...
Address: 18A Omirou str. RIK area, NicosiaCyprus