Costa Rica Implants

Costa Rica - San Pedro
0.0

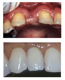
About Costa Rica Implants With today´s dentistry, even if you lost one or all your teeth, it is possible to have again an excellent smile and chewing function…without any concern of your age. Costa Rica Implants offers you the latest advances in technology, materials and procedures to make your Oral Surgery as safe, comfortable and affordable as your highest standard needs. This way, your smile will look natural again; you will taste fo... (Show more)

  • Reviews
  • Services
  • Contact
  • Q&A
  • Staff

Costa Rica Implants Reviews

Write a Review
See more...
Ask Now

Ask a Question

Question and Answer

See more...
Address: One Block South from McDonalds, Yellow Building, Second Floor, La SabanaCosta Rica