Clinic Center Dentistry - Budapest, Hungary
5.0
5 reviews
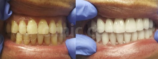
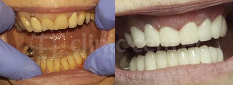
About Clinic Center Dentistry - Budapest, Hungary At Clinic Center our aim is to offer you exclusive patient care and access to highly qualified dental doctors with the potential to save up to 70% on your dental bill. With over 15 years of experience in dental tourism we understand that you may be nervous about making a decision to undergo cosmetic or restorative dental treatment in a foreign country. However you can be certain that we... (Show more)
- Reviews
- Services
- Contact
- Q&A
- Staff
| Service - Visit | Price |
|---|---|
| Root Canals | $55 |
| Dental Crowns | $22 |
| Dental Implants | $1,268 |
| Extractions | $61 |
| Teeth Cleaning | $66 |
| Dentist Consultation | $Free |
5.0
(5 reviews)
5.0
Staff
5.0
Punctuality
4.2
Communication
5.0
Competence
Clinic Center Dentistry - Budapest, Hungary Reviews
Write a Review
See more...
Ask Now
Ask a Question
Question and Answer
See more...
Address:
Budapest,, Jókai u. 1,, Hungary, 1066Hungary